Skip Menu
Promotions
Logo
Invisalign Provider
  • Request Appointment
  • About Us
    • Our Story
    • West Loop Team
    • Roscoe Village Team
    • Bucktown Team
    • Elmhurst Team
    • Careers
    • New Patients
    • Privacy Policy
  • Locations
    • West Loop Office
    • Roscoe Village Office
    • Bucktown Office
    • Elmhurst Office
    • Sister Offices
  • Services
      • Invisalign®
      • CEREC® Crowns
      • Crowns & Caps
      • Dental Bridges
      • Dental Fillings
      • Dentures
      • Extractions
      • Implant Dentistry
      • Night Guards
      • Oral Exams
      • Orthodontics
      • Periodontal Treatment
      • Preventive Program
      • Root Canals
      • Sleep Apnea
      • Veneers
  • Elective Treatment Menu
  • Payment
    • Smile Club
    • West Loop
    • Roscoe Village
    • Bucktown
    • Elmhurst
  • Post-Op Instructions
    • Oral Surgery
    • Root Canal
    • Crown and Bridge
    • Bone Graft
    • GLO Whitening
    • Implant (2 Months)
    • Implant (3 Months)
    • Implant (4 Months)
    • Partial Denture
    • Complete Denture
    • Extractions
    • Night Guard
    • Teeth Whitening
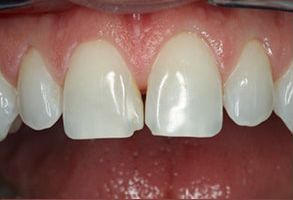
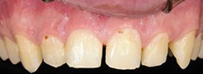
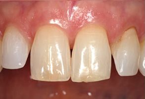
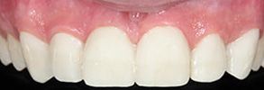
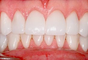
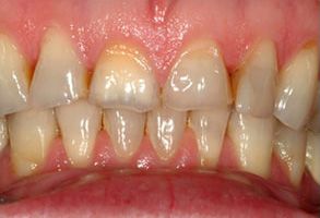
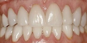
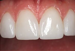
  • Smile Gallery

Smile Gallery

No Insurance? No Problem!

Click here to learn about our Smile Club!

Smile Club

Don't wait. Request an Appointment Now!

With a quick phone call or form submission you could be on your way to a brighter, healthier smile. Click the button below to begin your journey.

Request an Appointment